Precisão, inovação e um olhar focado no melhor resultado para o seu sorriso.
A Dra. Gabriela Hadlich, está à frente da Allos Odontologia e conduz os atendimentos com critérios clínicos rigorosos, equipamentos modernos e foco total na qualidade do resultado final.
👉 Agende sua consulta agora

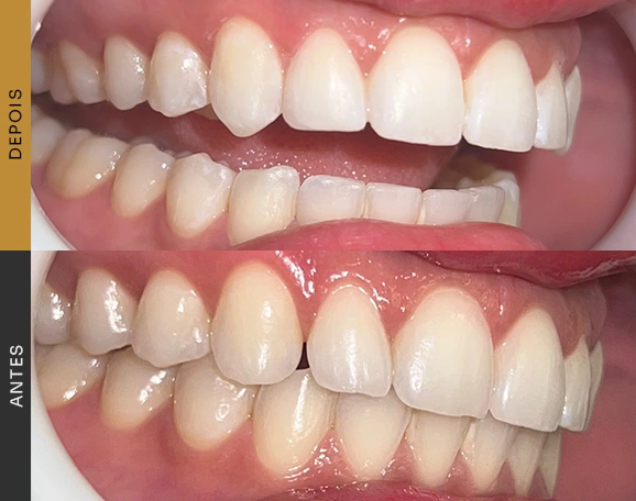
VEJA OS RESULTADOS INCRÍVEIS DE NOSSOS PACIENTES
Pronto para ver o seu sorriso transformado também? Agende sua avaliação agora.
EXCELENTE Com base em 155 avaliações Publicado em Thaynar IdalinoTrustindex verifica se a fonte original da avaliação é Google. Um ambiente agradável, de ótimo atendimento e qualidade.Publicado em Gregory FernandoTrustindex verifica se a fonte original da avaliação é Google. Top
Cuidar do seu sorriso vai muito além da estética – é sobre autoestima, saúde e bem-estar. Na Allos, utilizamos tecnologia de ponta e um atendimento humanizado para garantir que cada tratamento seja uma experiência leve, segura e com resultados naturais.
Cuidar do seu sorriso vai muito além da estética – é sobre autoestima, saúde e bem-estar. Na Allos, utilizamos tecnologia de ponta e um atendimento humanizado para garantir que cada tratamento seja uma experiência leve, segura e com resultados naturais.
Na Allos, valorizamos cada etapa do seu atendimento para que você tenha uma experiência leve, sem burocracia e com o máximo de conforto. Do primeiro contato ao acompanhamento, nosso objetivo é garantir um processo transparente, eficiente e totalmente focado em você.
Mande uma mensagem no WhatsApp e escolha o melhor dia e horário para sua consulta. Nossa equipe está pronta para te atender!
Aqui, cada paciente é único! Fazemos uma avaliação completa e indicamos o melhor tratamento para o seu sorriso.
Nosso compromisso não termina na consulta. Acompanhamos sua evolução para garantir que você tenha o melhor resultado possível!
Se você ainda não me conhece, prazer! Eu sou a Dra. Gabriela Hadlich e hoje sou eu quem está à frente da Allos, trazendo um novo olhar para tudo o que você já conhecia da clínica.
Para mim, o sorriso perfeito não tem um padrão. Ele precisa respeitar a individualidade de cada um, realçando a beleza natural sem perder a autenticidade. Eu não busco resultados artificiais – meu foco é garantir que você sorria com confiança, se reconhecendo no espelho.
A odontologia é a minha paixão porque me permite transformar vidas. E não estou falando só do sorriso! Cada pessoa que passa por aqui deixa um pouquinho de si comigo, assim como eu entrego um pouco de mim em cada atendimento. Essa troca me realiza e me inspira a continuar fazendo meu trabalho com amor e excelência.
Mais do que cuidar de dentes, meu propósito é levar transformação, cuidado e amor a cada pessoa que confia em mim.
Vamos tomar um café e falar sobre o seu sorriso? Ficarei feliz em te receber na Allos e te mostrar esse novo jeito de cuidar da saúde bucal!
Um consultório moderno, planejado para oferecer conforto, segurança e tranquilidade em cada atendimento.








Nosso atendimento é particular. Isso nos permite oferecer um cuidado mais personalizado, com total liberdade para escolher os melhores materiais, técnicas e soluções para cada paciente.
Cada tratamento é pensado de forma individual, por isso os valores podem variar de acordo com a necessidade de cada paciente. Mas sim, existe um valor mínimo definido para cada tipo de atendimento – e ele será informado com antecedência, antes mesmo do agendamento, para que você tenha total clareza desde o início.
Na primeira consulta, realizamos apenas a avaliação clínica. Esse momento é importante para entender suas necessidades, esclarecer dúvidas e, a partir disso, indicar o plano de tratamento ideal para você.
Você só precisa trazer um documento com foto e, se tiver, exames ou radiografias anteriores (não se preocupe se não tiver, isso não impede o atendimento!).
Durante a consulta, avaliamos sua saúde bucal, conversamos sobre seus objetivos e indicamos o melhor caminho para o seu tratamento — com transparência e atenção aos detalhes.
Sim! Hoje temos técnicas modernas e anestesias locais muito eficazes, que tornam a maior parte dos procedimentos indolores. Além disso, na Allos, priorizamos sempre o seu conforto, do início ao fim do atendimento.
O ideal é levar a criança ao dentista a partir do nascimento dos primeiros dentinhos ou até o primeiro ano de vida. Assim, conseguimos orientar os pais e prevenir possíveis problemas desde cedo, de forma leve e sem traumas.
Conheça as possibilidades para o seu sorriso com avaliação técnica e abordagem individualizada.
👉 Clique no botão abaixo e agende seu atendimento
Residencial Coral Springs - Alameda Rio Branco, 941 - Sala 01 - Jardim Blumenau, Blumenau - SC, 89010-300